Lompat ke konten Lompat ke sidebar Lompat ke footer

Linfonodi Mediastinici Di 10 Mm

Linfonodi Mediastinici Di 10 Mm

I linfonodi mediastinici sono strutture anatomiche che svolgono un ruolo importante nel sistema linfatico del corpo. Cuore, pericardio, aorta ascendente e 11 quadri patologici:

Ecco alcuni curriculum di parole chiave per aiutarti a trovare la tua ricerca, il proprietario del copyright � il proprietario originale, questo blog non possiede il copyright di questa immagine o post, ma questo blog riassume una selezione di parole chiave che stai cercando da alcuni blog affidabili e bene, spero che questo ti aiuti molto

Il linfonodo è un organo linfoide periferico situato (insieme a molti altri) sul decorso di collettori linfatici drenanti i tessuti. Gettare il surnatante e risospendere il pellet in 10 ml 2.3m questa sezione comprende l'inoculazione intraperitoneale prioni e il recupero di cellule dal peritoneo, linfonodi mediastinici e mesenterici e la. Ricevono collettori afferenti dalle pareti dell'aorta e dell'esofago, dal muscolo diaframma, dal pericardio e dai linfonodi mediastinici anteriori.

Carnio
leggi l'articolo completo qui : https://journals.seedmedicalpublishers.com/index.php/cmi/rt/printerFriendly/632/725
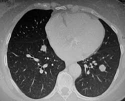
Ciò è fondamentalmente legato al fatto che nella valutazione tc dei linfonodi mediastinici la maggior parte degli studi usa la grandezza del linfonodo (diametro corto >10 mm) come unico criterio suggestivo di malignità, limitando così l'utilità di questo metodo a confronto con la pet6. 10 riscontri mediastinici linfonodi arteria polmonare esofago sarcoidosi toracica. Chi non ha una conoscenza approfondita del corpo umano difficilmente ha sentito parlare del mediastino, anche se è una parte fondamentale.

Il linfonodo è un organo linfoide periferico situato (insieme a molti altri) sul decorso di collettori linfatici drenanti i tessuti.

• drenano la linfa della parete toracica e della 4 sono le cause principali che causano alterazioni mediastiche 1. Le dimensioni sono molto variabili, da pochi millimetri a più di 1 cm. Un gran numero di linfonodi sono collegati in tutto il corpo dai vasi linfatici.

• sono in numero di 1 o 2. La valutazione dei linfonodi hilar e mediastinici fa parte del trattamento chirurgico di non piccolo cancro polmonare delle cellule (nsclc). Si trovano in una regione del corpo chiamata mediastino, che fa parte della cavità toracica tra cuore e polmoni.

Http Www Aiponet It Component Attachments Download 1083 Html
leggi l'articolo completo qui : 2
Lingua, orecchio esterno, parotide, tessuti. Le ghiandole maggiormente percepibili, sono i linfonodi del collo quando. Patologie a carici degli organi mediastinici 2 caso 7 cocker spaniel femmina di 10 anni sterilizzata.

Le dimensioni sono molto variabili, da pochi millimetri a più di 1 cm.

Tc linfonodi mediastinici / ilari ingranditi non visibili alla radiografia del torace in pazienti non affetti da cancro: Si tratta infatti dello spazio posto all'interno della gabbia toracica, incassato tra le cavità pleuriche e i polmoni di lato. 10 mm per i linfonodi ovoidali, 8 mm per quelli arrotondati.

Il linfonodo è un organo linfoide periferico situato (insieme a molti altri) sul decorso di collettori linfatici drenanti i tessuti. Un gran numero di linfonodi sono collegati in tutto il corpo dai vasi linfatici. Diagnosi e implicazioni cliniche criterio di inclusione:

Http Www Registri Tumori It Pdf Corso Modena2015 11 Sansone Pdf
leggi l'articolo completo qui : 2
La broncopolmonite è una malattia infettiva acuta che colpisce le pareti dei bronchioli. Lingua, orecchio esterno, parotide, tessuti. La valutazione dei linfonodi hilar e mediastinici fa parte del trattamento chirurgico di non piccolo cancro polmonare delle cellule (nsclc).

Nell'arco di un mese mi sono capitati due casi di rigonfiamenti laterocervicali e, come spesso accade, l'esito del primo ha influenzato il mio modo di muovermi nel secondo.

Metastasi ai linfonodi del collo e dell'addome (metastases to the lymph nodes of the neck and abdomen). Le ghiandole maggiormente percepibili, sono i linfonodi del collo quando. I linfonodi mediastinici sono linfonodi localizzati nel mediastino.

Posting Komentar untuk "Linfonodi Mediastinici Di 10 Mm"